Arm x-rays
Elbows x-rays
Shoulder / Arm x-rays
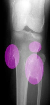
Legs / Knees xrays
Ankles x-rays
Hips / Pelvis x-rays
Few Types of Fixators
X-rays of fixators placed in Legs and Arm

MRI Spine

The MHE Research Foundation's X-Ray & Image Gallery
These X-rays & Images were obtained from a variety of children with MHE / MO / HME
Lauren McCabe was born with MHE and had fixator surgery to place a motorized fixator on her left arm as it was nearly
two inches shorter than her right. Lauren's story was presented on GOOD MORNING AMERICA. To view the video of Lauren's
story
Click Here
This website is regularly reviewed by members of the Scientific and Medical Advisory Board of the
MHE Research Foundation.
Disclaimer:   While many find the information useful, it is in no way a substitute for professional
medical care.The information provided here is for educational and informational purposes only. This
website does not engage in the practice of medicine. In all cases we recommend that you consult your
own physician regarding any course of treatment or medicine.
 
Written consent must be obtained to attach web pages or the files attached to this website.
Please email webmaster.
The MHE Research Foundation, we comply with the HONcode standard for health
trust worthy information:By the Health On the Net Foundation. Click here to verify.#
HON Conduct 282463  and is linked on the NIH National Library of Medicine,
Directory of Health Organizations (SIS) website,as well as the link for Patient
Information on
The Diseases Database a cross-referenced index of human disease,
and the
Intute: health & life sciences a free online service  providing access to the
very best Web resources for education and research located in the  UK
The MHE Research Foundation is proud to be working with the EuroBoNeT consortium,
a European Commission granted Network of Excellence for studying the pathology
and genetics of bone tumors.